Before & After Gallery

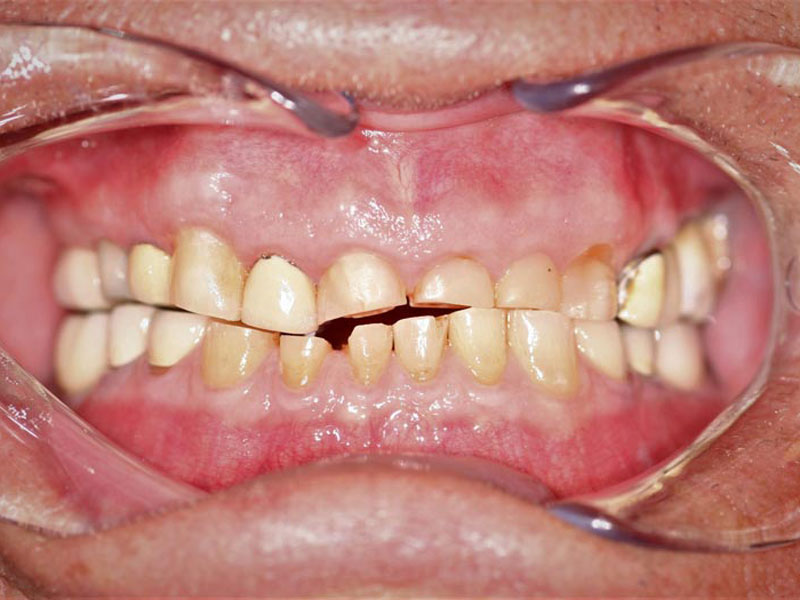
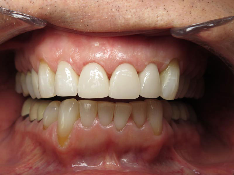
Patient 1

Anterior crowns due to continuous chipping and wearing on front teeth.

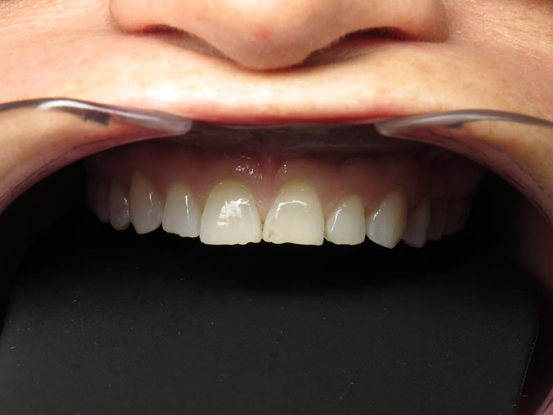
Patient 2

Anterior bonding.

Patient 3

Anterior crowns for better aesthetic look.

Patient 4

Anterior e.max crowns.

Patient 5

Orthodontics, crown lengthening, and e.max crowns.

Patient 6

Crown lengthening.

Patient 7

Anterior crown work due to a fracture of the natural front tooth.

Ready to Schedule an Appointment?